Digital X-Ray
At Dr. Asher Natural Chiropractic
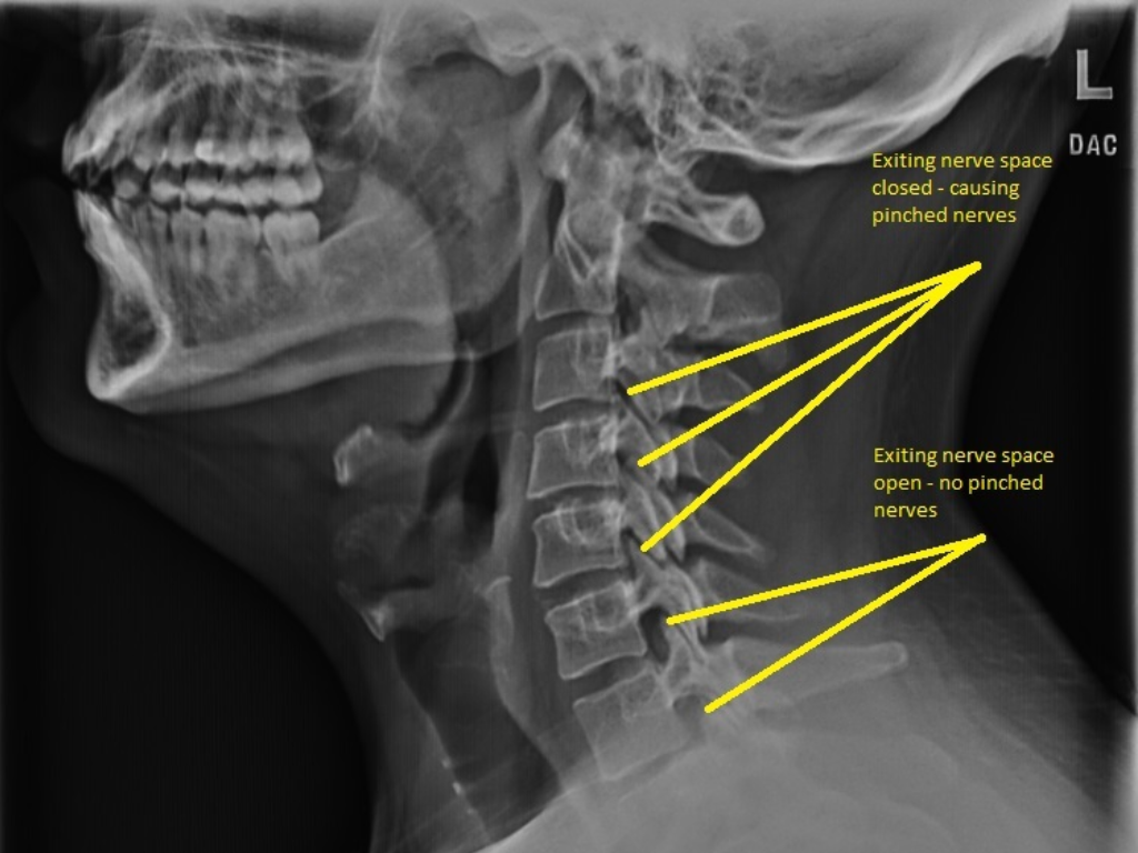
Dr. Asher uses state-of-the-art X-ray technology to asses each patient’s underlying skeletal structures. If necessary for your condition, we may suggest X-rays. These X-rays are essential for creating the most effective treatment plan and identifying any significant spinal conditions. Reviewing your X-rays up close can provide valuable insight, helping you gain a better understanding of your condition and available treatment options.

